Tecnologia e diagnóstico

EXAMES

A busca por melhores equipamentos digitais, é uma constante em nossa trajetória.
Trazendo sempre mais qualidade, agilidade e conforto aos nossos pacientes.

ANÁLISE
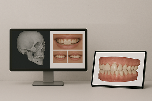
CRANIOMÉTRICA 3D

ESCANEAMENTO FACIAL

TOMOGRAFIA DA FACE
DE ALTA RESOLUÇÃO

DOCUMENTAÇÃO ORTODÔNTICA

DOCUMENTAÇÃO PARA ALINHADORES

DOCUMENTAÇÃO PARA CLAREAMENTO

ESCANEAMENTO INTRAORAL

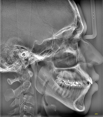
TELERADIOGRAFIA

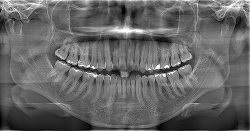
RADIOGRAFIA PANORÂMICA

TELERADIOGRAFIA
DOS SEIOS DA FACE

RADIOGRAFIAS PERIAPICAIS

RADIOGRAFIAS INTERPROXIMAIS

RADIOGRAFIA CARPAL

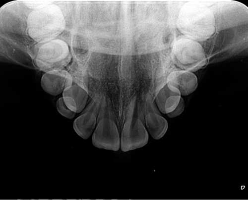
RADIOGRAFIA OCLUSAL